The pneumonia is a lung infection caused most often by a virus or a bacterium.

The infection affects more specifically the pulmonary alveoli, these tiny balloon-shaped bags located at the end of the bronchioles (see diagram below). It usually affects only one of the 5 lobes of the lung (3 lobes in the right lung and 2 in the left), hence the term lobar pneumonia. When pneumonia also affects the bronchi, it is called bronchopneumonia.
Pneumonia is actually a wide variety of infections that can be mild or life-threatening. So if pneumonia appears as a complication of serious illness or in an elderly person, it can be fatal. In very rare cases, pneumonia can also be fatal in a healthy person. The disease is usually manifested by a cough often accompanied by sputum, shortness of breath, fever and chills. Pneumonia is most often caught like the flu or a cold, by inhaling contaminated particles.
In some cases, it occurs after another respiratory infection, such as the flu or bronchitis, which “gets out of hand” and sets in the alveoli of the lungs. Some of the symptoms can last for several weeks. It is usually not very contagious.
NOTICESymptoms of pneumonia is similar to symptoms of coronavirus (Covid-19).
The term pneumonia is sometimes used synonymously with pneumonia. In fact, in medical use, pneumonia refers to an infection of the lungs caused by a microbe (virus, bacteria), while pneumonia is a broader term meaning “disease of the lungs”.
There are, for example, forms of pneumonia caused not by microbes, but by inhalation of irritants, dust or prolonged tobacco use. Their symptoms resemble those of pneumonia.
What are the causes of pneumonia?
Almost all pneumonia is caused by germs, viruses or bacteria. When the microbe attacks the lungs, the body responds by triggering an inflammatory reaction. The alveoli fill with pus and inflammatory fluid, causing difficulty in breathing.
The physician must distinguish between two modes of pneumonia contraction: contraction in a hospital setting (nosocomial pneumonia) and contraction outside the hospital (community-acquired or “community-acquired” pneumonia). The nosocomial pneumonia is generally more dangerous because they occur in people weakened by another disease.
In the hospital, pneumonia is often transmitted by mechanical ventilation (intubation) devices in intensive care units. The exact type of bacteria or virus responsible for pneumonia in a given patient is only known in half of the cases, 17 in part because laboratory techniques are not efficient enough. For your information, here are the ones that are most commonly found in people with pneumonia.
The bacteria that cause pneumonia
Bacterial infections most often cause typical pneumonia. Most of the time, the bacteria Haemophilus influenzae, Staphylococcus aureus or Streptococcus pneumoniae (causing pneumococcal pneumonia ), are responsible.
The atypical pneumonia
It manifests with symptoms that may be less pronounced than typical pneumonia. For example, some people with pneumonia do not have fever or chest pain.
Pneumonia then sounds like a respiratory infection, such as bronchitis, sinusitis or the flu (influenza). Among the bacteria that cause atypical pneumonia are Mycoplasma pneumonia (causing mycoplasma pneumonia), Chlamydia pneumoniae and Legionella pneumophila (responsible for Legionnaires’ disease).
The viruses involved
The most common viruses responsible for pneumonia are influenza and parainfluenza viruses, respiratory syncytial virus, cold viruses (rhinovirus), herpes-type viruses or the SARS virus.
The influenza virus, that is, the flu virus sometimes reaches the alveoli of the lungs and thus causes viral pneumonia. Subsequently, the respiratory system weakened by the viral infection can open the door to a potentially more serious bacterial superinfection.
At the beginning of 2003, an epidemic of SARS or severe acute respiratory syndrome claimed victims in several countries. China, Singapore and Canada (especially the city of Toronto) were the most affected. In total, more than 8,000 people were infected with SARS at that time. Of these, 800 died, including 43 in Canada 2.
The epidemic was brought under control in the space of 4 months thanks to measures aimed at preventing its transmission (the wearing of masks, quarantine, etc.). SARS is caused by a highly contagious coronavirus.
Other, rarer causes of pneumonia
The aspiration pneumonia occurs when some of the liquid in the stomach is aspirated into the lungs. Bacteria in this fluid then reach the bronchi and airways and cause infection.
This phenomenon usually occurs after anaesthesia or as a result of a neurological disorder affecting the swallowing reflex or in the event of inhalation of his vomiting, due to overconsumption of alcohol or drugs.
Inhalation of certain toxic products (kerosene, varnishes, paint thinners, etc.) or mould (during construction work, mainly in people whose immune system is weakened by immunosuppressive treatment), or even an allergy to products used in the workplace can cause inflammation of the lungs and bleeding.
These conditions increase the risk of pneumonia and can cause pneumonitis, an inflammation of the lungs, of non-infectious origin.
Tuberculosis can present as pneumonia. Pneumonia caused by a parasite or fungus is most common in people with weakened immune systems. Pulmonary aspergillosis is one example, as is pneumocystosis (caused by a parasite).
Diagram of pneumonia
Who is affected by pneumonia?
According to the World Health Organization, in 2015, pneumonia was responsible for 15% of deaths in children under 5. It is, therefore, a dangerous disease in young children, which is why the WHO recommends vaccination to prevent pneumonia. According to the Quebec Lung Association, 200,000 to 300,000 Canadians suffer from pneumonia each year and the mortality rate can reach 30% in certain populations (elderly people – over 65 years old – hospitalized, etc.).
The acquired pneumonia in the hospital affects 0.5% to 1% of hospitalized patients, but up to 40% of mechanically ventilated intensive care 17.
Read our article on people at risk
Diagnosis: how do you recognize pneumonia?
The doctor assesses the symptoms, asks about family history and examines the lungs.

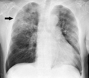
He may do an x-ray of the lungs and request an analysis of pulmonary secretions (expelled by coughing). If needed, he will have to do other tests, such as looking for bacteria in the blood.
See the symptoms of pneumonia in detail
What are the complications?
Pneumonia is usually healed in 2 weeks or a little longer. However, it often takes more time to fully recover. Although they are rare, some serious complications are possible.
• A pleural effusion. It is the accumulation of inflammatory fluid between the two layers of the pleura that causes compression of the lung. If there is a lot of liquid, it should be removed by suction. Exceptionally, this fluid sometimes persists and becomes purulent. Surgery is then often necessary.
•An abscess in the lung.
•Respiratory distress. When pneumonia affects both lungs, breathing becomes extremely difficult. Assisted ventilation is often necessary.
•A septic shock, that is to say, a generalized infection of the body due to the passage of bacteria from the lungs to the blood. This occurs especially with pneumococcal pneumonia.
Thanks to antibiotics, pneumonia causes far fewer deaths than before. However, pneumonia and influenza (influenza) are, both together, the leading cause of death from infectious disease in Canada 1. The very old, with weaker immune systems, and people with other serious illnesses are most likely to succumb to it.
